Identify The Leukocytes Shown In The Photomicrographs Below
The most alarming aspect of Zika virus infection is its association with severe birth defects when infection occurs in. Its quite an experience hearing the sound of your voice carrying out to a over 100 first year dental students.

Cancers Free Full Text 6 Gingerol Derived Semi Synthetic Compound Ssi6 Inhibits Tumor Growth And Metastatic Dissemination In Triple Negative Breast Cancer Xenograft Models Html
Sly for easing my nerves and helping my first lecture be a success.

Identify the leukocytes shown in the photomicrographs below. Since the explosive outbreak of Zika virus in Brazil and SouthCentral America in 20152016 the frequency of infections has subsided but Zika virus remains present in this region as well as other tropical and sub-tropical areas of the globe. Academiaedu is a platform for academics to share research papers. Shoutout to my amazing research mentor Dr.

Single Cell Rna Sequencing Of Human Microglia Uncovers A Subset Associated With Alzheimer S Disease Nature Communications

Leukocytes And Platelets Anatomy And Physiology Ii

Frontiers To React Or Not To React The Dilemma Of Fish Immune Systems Facing Myxozoan Infections Immunology

Solved 7 Identify The Leukocytes Shown In The Chegg Com

De Novo Lipogenesis Is Essential For Platelet Production In Humans Nature Metabolism

Connective Tissue Tissue Biology Anatomy And Physiology Human Tissue

Images What New Coronavirus Looks Like Under The Microscope Npr

Cells Free Full Text Eosinophil Responses At The Airway Epithelial Barrier During The Early Phase Of Influenza A Virus Infection In C57bl 6 Mice Html

Cancers Free Full Text Il 33 Promotes Cd11b Cd18 Mediated Adhesion Of Eosinophils To Cancer Cells And Synapse Polarized Degranulation Leading To Tumor Cell Killing Html

Solved 430 Review Sheet 29 4 Define Formed Elements List Chegg Com

Solved 3 Genetic Defect That Causes Hemoglobin To Become 4 Chegg Com

The Prognostic Value Of Galactosylceramide Sulfotransferase Gal3st1 In Human Renal Cell Carcinoma Scientific Reports

Temporomandibular Inflammation Regulates The Matrix Metalloproteinases Mmp 2 And Mmp 9 In Limbic Structures Nascimento 2021 Journal Of Cellular Physiology Wiley Online Library

What Is Your Diagnosis A Flag For Platelet Clumping In The Peripheral Blood Of A Female Crl Cd 1 Mouse On An Advia Hematology Analyzer Petterino Veterinary Clinical Pathology Wiley Online Library

April Limits Atherosclerosis By Binding To Heparan Sulfate Proteoglycans Nature
White Blood Cell Differential Wikipedia

Ijms Free Full Text Resolution Of Deep Venous Thrombosis Proposed Immune Paradigms Html

Alkaline Phosphatase Is A Useful Cytochemical Marker For The Diagnosis Of Acute Myelomonocytic And Monocytic Leukemia In The Dog Stokol 2015 Veterinary Clinical Pathology Wiley Online Library
![]()
Thymus Histology Features Cell Types And Anatomy Kenhub

Combination Of Lentiviral And Genome Editing Technologies For The Treatment Of Sickle Cell Disease Molecular Therapy

Solved 430 Review Sheet 29 He 4 Define Formed Elements 9 Chegg Com

Pharmaceuticals Free Full Text Zingerone Targets Status Epilepticus By Blocking Hippocampal Neurodegeneration Via Regulation Of Redox Imbalance Inflammation And Apoptosis Html

Leukocytes White Blood Cells Flashcards Quizlet

Air Pollution Impairs Recovery And Tissue Remodeling In A Murine Model Of Acute Lung Injury Scientific Reports

Folliculitis To Tubercular Panniculitis A Clinical Diagnostic Dilemma Bmj Case Reports

Life April 2021 Browse Articles

Behind The Scenes Of Visible Biology Bringing The Blood Cell Lab Into 3d And Ar

Applied Sciences Free Full Text Use Of Human Umbilical Vein Endothelial Cells Huvec As A Model To Study Cardiovascular Disease A Review Html

Genes Free Full Text Transcriptional Differences Between Canine Cutaneous Epitheliotropic Lymphoma And Immune Mediated Dermatoses Html

411 Tologic Tests Below Ordnom Rom The Bou G Ht Chegg Com

Pathogenesis Of Hemorrhagic Disease Caused By Elephant Endotheliotropic Herpesvirus Eehv In Asian Elephants Elephas Maximus Scientific Reports

411 Tologic Tests Below Ordnom Rom The Bou G Ht Chegg Com

Blood Cell Histology Flashcards Quizlet
Solved List The Formed Elements Present In The Blood And 4 Chegg Com

Pathogens Free Full Text Human Babesiosis In Europe Html

Hematology Lab Testing Indices Hematocrit Flashcards Quizlet

Leukocytes White Blood Cells Flashcards Quizlet

Leukocytes White Blood Cells Flashcards Quizlet

A P2 Bio142 Exam 1 Flashcards Quizlet

Behind The Scenes Of Visible Biology Bringing The Blood Cell Lab Into 3d And Ar

Hematology Lab Testing Differentials And Morphology Evaluations Blood And Body Fluids Flashcards Quizlet

How I Investigate Basophilia In Daily Practice Feriel 2020 International Journal Of Laboratory Hematology Wiley Online Library

Obesity Oxidative Dna Damage And Vitamin D As Predictors Of Genomic Instability In Children And Adolescents International Journal Of Obesity

Frontiers Reference Intervals For Selected Hematology And Clinical Chemistry Measurands In Temminck S Pangolin Smutsia Temminckii Veterinary Science

Leukocytes White Blood Cells Flashcards Quizlet

Erythrocyte Count An Overview Sciencedirect Topics

Tert Promoter Hotspot Mutations And Gene Amplification In Metaplastic Breast Cancer Npj Breast Cancer

Research News Channel Protein Converts Vibrations To Electrical Signal Howard Hughes Medical Institute Hhmi
A Randomized Controlled Trial Comparing Non Steroidal Anti Inflammatory And Fusion Protein Inhibitors Singly And In Combination On The Histopathology Of Bovine Respiratory Syncytial Virus Infection

A Rat Model Of Male Pregnancy Biorxiv

Pilar Zugarramurdi Mpzugarramurdi Twitter

Reversal Of Maladaptive Fibrosis And Compromised Ventricular Function In The Pressure Overloaded Heart By A Caveolin 1 Surrogate Peptide Laboratory Investigation

An End To The Controversy Over The Microscopic Detection And Effects Of Pristine Microplastics In Fish Organs Scientific Reports

Urine Microscopy An Important Diagnostic Tool Tidsskrift For Den Norske Legeforening

A P2 Bio142 Exam 1 Flashcards Quizlet

Behind The Scenes Of Visible Biology Bringing The Blood Cell Lab Into 3d And Ar

Ijms Free Full Text Interactions Via A2b1 Cell Integrin May Protect Against The Progression Of Airway Structural Changes In Asthma Html

Type I Camp Dependent Protein Kinase Delays Apoptosis In Human Neutrophils At A Site Upstream Of Caspase 3 Journal Of Biological Chemistry

Behind The Scenes Of Visible Biology Bringing The Blood Cell Lab Into 3d And Ar

Anemia From A To Zinc Hypocupremia In The Setting Of Gastric Bypass And Zinc Excess Tatineni 2020 Clinical Case Reports Wiley Online Library

Morphologic Cytochemical And Ultrastructural Features Of Gray Eosinophils In Nine Cats Holmes 2021 Veterinary Clinical Pathology Wiley Online Library

Behind The Scenes Of Visible Biology Bringing The Blood Cell Lab Into 3d And Ar

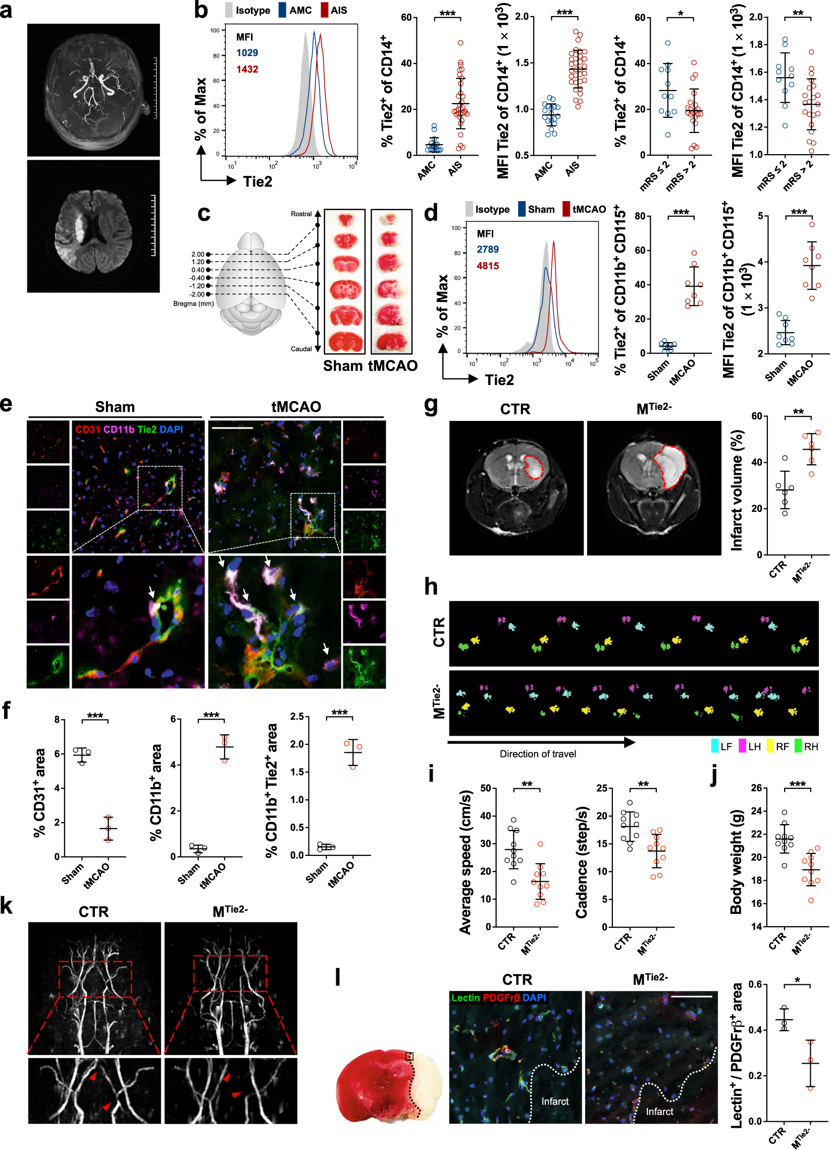
Tie2 Expressing Monocytes Macrophages Promote Cerebral Revascularization In Peri Infarct Lesions Upon Ischemic Insult Signal Transduction And Targeted Therapy

Images What New Coronavirus Looks Like Under The Microscope Npr

Blood Cell Histology Flashcards Quizlet

Blood Cell Histology Flashcards Quizlet

Leukocytes And Platelets Anatomy And Physiology Ii

Cancers Free Full Text 6 Gingerol Derived Semi Synthetic Compound Ssi6 Inhibits Tumor Growth And Metastatic Dissemination In Triple Negative Breast Cancer Xenograft Models Html

Life Free Full Text Osteoclasts And Microgravity Html

Images What New Coronavirus Looks Like Under The Microscope Npr
![]()
Bio202a Exercise 29 Review Sheet Docx Review Sheet Exercise 29 Blood Name Marie Eleonor S Deiparine Lab Time Date Composition Of Blood 1 What Is The Course Hero

Tongue Surface By Clouds Hill Imaging Ltd Science Photo Library Microscopic Photography Things Under A Microscope Microscopic

How I Investigate Basophilia In Daily Practice Feriel 2020 International Journal Of Laboratory Hematology Wiley Online Library

Ijerph Free Full Text Bone Marrow Oxidative Stress And Acquired Lineage Specific Genotoxicity In Hematopoietic Stem Progenitor Cells Exposed To 1 4 Benzoquinone Html

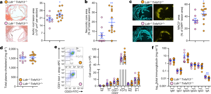
Cell Specific And Divergent Roles Of The Cd40l Cd40 Axis In Atherosclerotic Vascular Disease Nature Communications

What Is Your Diagnosis A Flag For Platelet Clumping In The Peripheral Blood Of A Female Crl Cd 1 Mouse On An Advia Hematology Analyzer Petterino Veterinary Clinical Pathology Wiley Online Library

Molecular Expressions Microscopy Primer Specialized Microscopy Techniques Phase Contrast Photomicrography Gallery Amphibian Red Blood Cells

Solved 7 Identify The Leukocytes Shown In The Chegg Com

Solved Truerfean Funtions Of Blood And Hemostasis Answer Chegg Com









